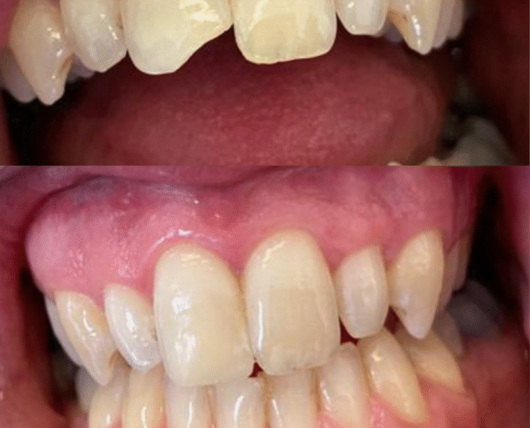
Understanding Dental Implants: A Permanent Solution for Missing Teeth
Dental implants provide a natural, permanent solution for missing teeth, enhancing oral health and confidence. Love the Dentist, led by Dr. Tina Liu-Campbell, offers expert care and free consultations.
