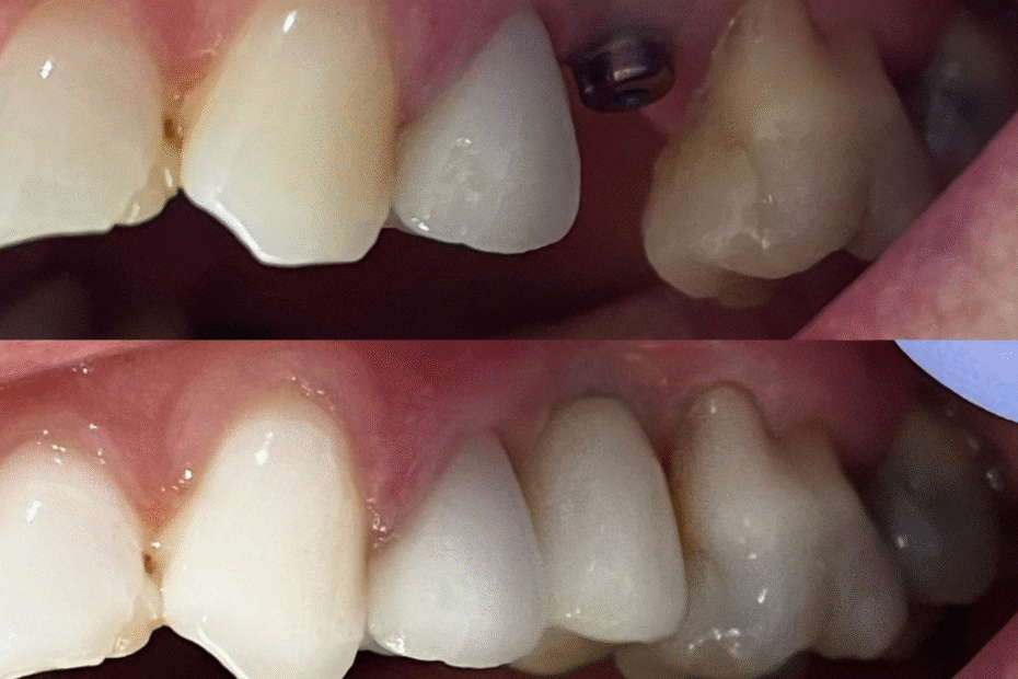
Unlocking Your Best Smile: The Power of Personalized Dental Treatment Plans
Love the Dentist offers personalized dental plans in Cheshire, enhancing comfort, anxiety relief, cosmetic results, and family care, backed by sedation options and a trusted community reputation.



