Why Comprehensive Family Dental Plans Make Life Easier for Busy Households
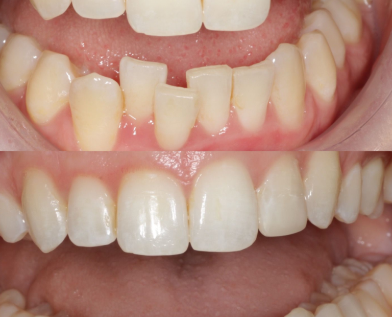
Love the Dentist’s comprehensive family dental plans in Mobberley and Chester offer convenient, affordable, and personalized care for all ages, including preventive, sedation, and cosmetic dentistry.
